私たち日本人は大きく口をあけて笑うことはしないように思います。このことは日本人の習慣ということもあるでしょうが、歯並びが悪いとか口の中の金属がキラキラ光るからなどの理由によって笑う時に口元に手をやってしまう事も多いのではないでしょうか。
歯並びを直すためには矯正治療行うことが理想ですが、治療期間と費用そして、わずかながらも忍耐が必要です。
歯がねじれていたり、傾いたりしている場合、また歯と歯の間に隙間がある場合などの軽微な歯並びの不正は、歯の前面のエナメル質を0.5mm程削り、セラミックスを接着させるラミネート法により問題を解決させることができます。
近頃はテレビ番組で治療や手術によって劇的に美しくなった方を紹介していますが、その時はいつも口元も治療され、その際に行われる治療がラミネート法なのです。
それでは、当院で治療した患者さんを紹介します。この方は前歯の隙間が気になるということで来院されました。矯正治療は期間と費用の点から敬遠され、2回の来院で隙間をなくし、自然な歯の形態にするすることができるラミネート法を選択されました。通法どおり歯の前面を0.5mm削り、セラミックスを接着させ隙間をなくしました。

この方は口元を美しくしたいという希望で来院されました。現状では、上顎の前歯の歯軸が真っすぐでなく左側に傾いている事を説明しました。
そこで、右上前歯の差し歯を作りなおす時に、左上前歯2本と差し歯となる右上前歯の隣の歯1本にラミネート法を施して上顎前歯の歯軸が真っすぐになるようにしました。
また、右上前歯の差し歯は、強度を保ちながら、通常のポーセレンよりさらに美しく仕上げることができるサンライズポーセレンを使用し、ラミネートと調和し、天然の自分の歯と同じように見えるように仕上げました。

最後に口の中の金属を全て取り除いて治療した患者さんを紹介します。
この方は、ある時からメガネや指環、時計のバンドなどの金属に触れると皮膚が赤く腫れ、手掌や足底に膿がでるようになりました。
皮膚科を受診したところ、金属アレルギーと診断され、金属を全く使用しない治療をしてほしいと当院に依頼がありました。
前歯は金属を使わないオールセラミックスの冠で修復しました。また、歯はハイブリットセラミックスのインレーやレジンによる充填で修復しました。この方のように全く金属を使わないで治療することも可能です。

しかしながら、金属を使わないセラミックスやレジンによる治療は、材料の摩耗や破折の危険性がわずかながら増大します。
そこで審美性と強度のバランスの折り合いをどのようにしていくのが最善なのかは、患者さんと歯科医が相談していくことが大事だと思います。
口の中の金属がキラキラ光ることなく、美しい歯並びを獲得したら、あなたのイメージアップは間違いありません。そして口元に手を添えることなく笑えるようになるのではないでしょうか。
最近の研究から、第一印象は口元の印象が大きな要因で決まる事がわかってきました。そこで、もっと美しくありたい、第一印象を良くしたいという希望から矯正治療を始められる方が増えています。
矯正治療は歯並びや咬み合わせが悪い場合、矯正装置を装着して歯の位置を移動させ、歯並びと口元の審美性を改善し、よく咬めるようにする治療のことをいいます。そこでまず、歯並びや咬み合わせが悪いことは具体的にどのような障害を起こしているか説明します。
このような障害を取り除くために矯正治療が行われます。
一般的には、ファッション以外のおしゃれの一つとして歯並びをきれいにして美しくなりたいという審美的要望のために治療を開始される方が多いと感じています。審美性を改善することにより、心理的なコンプレックスを取り除き、第一印象を良くし、対人関係でも仕事の面でも自信に満ちた楽しい人生を過ごすことができることは、矯正治療を行う大きなメリットの一つとして評価されるものと考えます。
しかしながら、私はもっと機能的問題(顎関節や筋肉が適切に動き、よく咬むことができること)の解決、虫歯や歯周病、外傷の予防の為にこそ矯正治療は行われるべきであると強調したいと思います。
一般歯科診療(虫歯や歯周病の治療など)を行いながら矯正治療も行っていると、もし早い時期に矯正治療が行われていたらこのように歯周病や虫歯が悪化しなかったのではないかと思われる例はたくさんあります。今回はその中から3例を紹介したいと思います。

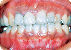
この写真の方の場合は、下顎の右側の一本の歯が反対咬合になっています。この歯の内側(舌側)は、歯ブラシをあてることが非常に難しいために、歯垢や歯石が付いていました。また、この歯には噛み合う際に、本来下顎前歯に加わるべき内下方への力と違う方向(外側へ押し出す方向)に力が加わるために歯周病が進行してしまい、歯肉は退縮し、赤く腫れ、歯は動揺しています。

この写真の方は、噛み合わせようとすると、左側の上下の犬歯どうしがぶつかる為に下顎を左側にずらさないと奥歯を咬み合わせることができません。
この方は正面からみた顔貌が左右非対称で審美的な障害もあるのですが、その他に顎関節の痛み、肩コリ、頭痛もあり咬み合わせが原因と疑われます。ですから歯並びを整えることは、健康美を求めることだけではなく、本来その人が待ちあわせている健康を阻害する要因を取り除くために必要な治療であると考えています。

最後に当院で矯正治療を行った患者さんの例を紹介します。初診時は反対咬合で、さらに下顎を右側にずらせなければ臼歯部を咬み合わせることができませんでした。そのために上顎前歯の正中と比べ下顎前歯の正中は右側にずれています。また顔貌を見ると左右非対称となっています。

矯正治療を行うことによって反対咬合が改善し、上・下顎の正中が一致し臼歯部もしっかりと咬むことができるようになりました。顔貌も左右対称となり健康美を獲得することができました。
矯正治療には、お金と時間とわずかながらも忍耐が必要です。簡単に手に入らないものだからこそ価値があります。
美しい歯並びと正常な咬み合わせによる健康美は、装飾品や服のように身に付けた時だけではありません。あなたの口元でいつも輝いています。
現代では自分を高めるために自己投資をする方が増えているといわれています。 あなたの口元そして人生を輝かせるため自己投資しませんか。まずはお気軽にご相談下さい。