下顎前突について / 上顎前突について /
| 下顎前突とはどのような状態なのでしょうか? |

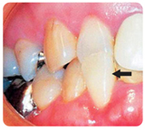
下顎前突は反対咬合または受け口ともいわれるもので、下の前歯が上の前歯より前方でかむ状態をいいます。
| 下顎前突にはどうしてなるのでしょうか? |

下顎前突になる原因には①下顎の成長が大きい場合②上顎の成長が小さい場合③下顎の成長が大きく、また上顎の成長が小さい場合などがあります。
| それでは治療方法について教えて下さい。 |


治療方法は、下顎前突になった原因を調べて、その原因に合わせた方法を選択します。
まず、下顎の成長が大きい場合、小児の場合は下顎の前下方への成長を抑制するチンキャップという装置を使用してもらいます。この装置は自宅にいる半日程度を目安に使用します(右上図)。
次に、幼時から小学生までの場合で上顎の成長が小さい場合には、当院では、新聞などで今話題となっているムーシールドを使用してもらいます(中・下写真)。この装置は、寝ている間に特殊なマウスピースを装着することにより、舌の力で上顎の成長を促すものです
大人の場合で、下顎骨の骨格そのものが大きく、噛み合わせのずれが大きい場合には、外科矯正といって顎の骨を切って、上下の噛み合わせを合わせる治療も行われます。
また、思春期までの上顎骨の成長が期待できる場合には上顎前方牽引装置を使用してもらいます。この装置も自宅にいる半日程度を目安に使用してもらいます。
当院の小児治療の場合には、8割以上の方がムーシールドのみで治療して、改善しております。1割程度の方がムーシールドとチンキャップを併用しています。中学生以上では、歯にブラケットという装置を接着させて、ワイヤーの力を利用して矯正治療するマルチブラケット法で治療しています。
| 治療はいつ頃から始めたらよろしいでしょうか? |

噛み合わせを逆のままにしておくと下顎骨が過成長しやすい状態が続きます。下顎骨が取り返しのつかない程大きくなってしまう前に、逆の噛み合わせは治しておくべきと考えます。治療について理解し、協力が得られる3才以降であれば早ければ早い程良いと考えています。
| 乳歯の反対咬合は永久歯に生え変わる時に自然に治りませんか? |

永久歯に生え変わる時に自然に治る場合もありますが、大半の場合はやはり反対咬合のままとなります。矯正治療を行っている歯科医に相談すると永久歯の生え変わり時に自然治癒する可能性があるのか、ある程度判断できますから、まずは早めに相談されることをお勧めします。
| 上顎前突とはどのような状態なのでしょうか? |

上顎前突は、”出っ歯”とも言われ、上顎が下顎より大きく前にでているか、あるいは、下顎が上顎より大きく後にあるような状態をいいます。学校歯科検診では、上顎前歯の先端が下顎前歯より水平的に8mm以上離れている場合には専門医による精密診断が必要であるとして勧告が出されることになっています。
| 上顎前突になっている方は多いのですか? |

上顎前突は、日本人の場合は4人に1人の割合で現われ、下顎前突の約2倍以上の出現頻度があると言われています。しかしながら、上顎前突の方は不正な咬合であるという認識が少ないために、治療が必要な方でも治療を受けている割合は少ないと言われています。
| それでは上顎前突の治療はどのように行われるのでしょうか? |

幼児や小学校低学年の場合には、まず悪習癖がないかを確認します。指しゃぶり、上下の前歯の間に舌を出したり、唇をはさんだりする癖などある場合には止めるよう指導します。唇や舌などの筋のトレーニングや悪習癖を取り除くためのトレーニングを行うこともあります。
小学校3年生ぐらいから中学生頃までは、患者自身によって取りはずしを行う簡単な矯正装置を使って治療します。いくつかある矯正装置の中でも当院でよく使用するのが、インクラインという矯正装置で、寝る前2時間程度と寝ている間に装着します。この装置は使用しているのが家にいる時だけなので他の人に矯正治療をしていることが知られません。この装置を口の中に装着したところ、また装置を側面から見たところを写真で示します。

写真で見ると治療は大変そうに見えますが、子供達はすぐに慣れて使用できます。
次に実際にこの装置だけ使用して治療した患者さんの例を写真で示します。

このようにこの装置は単純な装置ではありますが、非常に効果があることがお判りいただけると思います。成長期を利用して治療を行うことにより、簡単な装置で肉体的、精神的、費用的にも負担が少なく良好な結果が得られることから、早い時期からの矯正治療をお勧めします。
高校生以降になると他の不正咬合の治療でも行われる、個々の歯にブラケットという装置をつけてワイヤーの力を利用して歯の移動を行うマルチブラケット法で治療を行います。
また、最近は40代、50代の成人の方で上顎前突の矯正治療を始められる方が増えています。それは歯周病になったり、奥歯を失ったりすると上顎の前歯が下顎の前歯に突き上げられることにより、上顎前突がさらに進むことにより治療の必要性に迫られるからなのです。上顎前突が進行しないで、自分の歯がしっかりしている間に矯正治療を行うのが望ましいです。

叢生は顎の大きさと歯の大きさが釣合わないために生じます。日本人の永久歯は昔と比べて栄養状態が良好なために少し大きくなってきています。
一方、日本人の顎骨は昔と比較してよく噛まなくなってきたために退化傾向にあると言われています。そのために叢生になる人の割合が増えてきているようです。

子供の場合は、乳歯、永久歯を虫歯にしないことがまず一番大事です。また、食事の時は固い物、噛みづらい物でも嫌がらないでよく咬んで食べましょう。
大人の場合は、親知らずの歯がある場合には、叢生の原因となることがあるので注意が必要です。もし、心配な方は歯科医院でレントゲンを撮ってもらい、親知らずが歯並びに影響を及ぼさないのか確認してもらうと良いでしょう。
| それでは治療はどのようにするのでしょうか? |

乳歯のみが萌えている乳歯列期、乳歯と永久歯が混在している混合歯列期の人は、一般的には写真のような床矯正装置により、ゆっくりと顎骨の成長を促します。最近では、咬合誘導装置のマルチファミリーを用いて治療する機会が増えています。この装置は柔らかいシリコンで出来ているマウスピース型装置です。寝る前の2時間程度と就寝中に使用します。学校に持っていかないので矯正治療していることが友達に知れることはありません。永久歯の萌出が完了している場合には、歯にブラケットという装置を接着させて、ワイヤーの力を利用して歯の移動を行うマルチブラケット法で咬合を改善していきます。
口腔内を拡大して写真撮影すると、装置が目立つように感じますが、当院では透明なブラケットを使用しているので実際にはほとんど気にならない程度です。

